Woman 33 yo PARA 1011 underwent C-section 3 years [ 2013] now ultrasound detected in 6weekpregnancy. But she would like to evacuatethe embryonic sac by curettage . Then 3 weeks later she get pain at her pelvis.
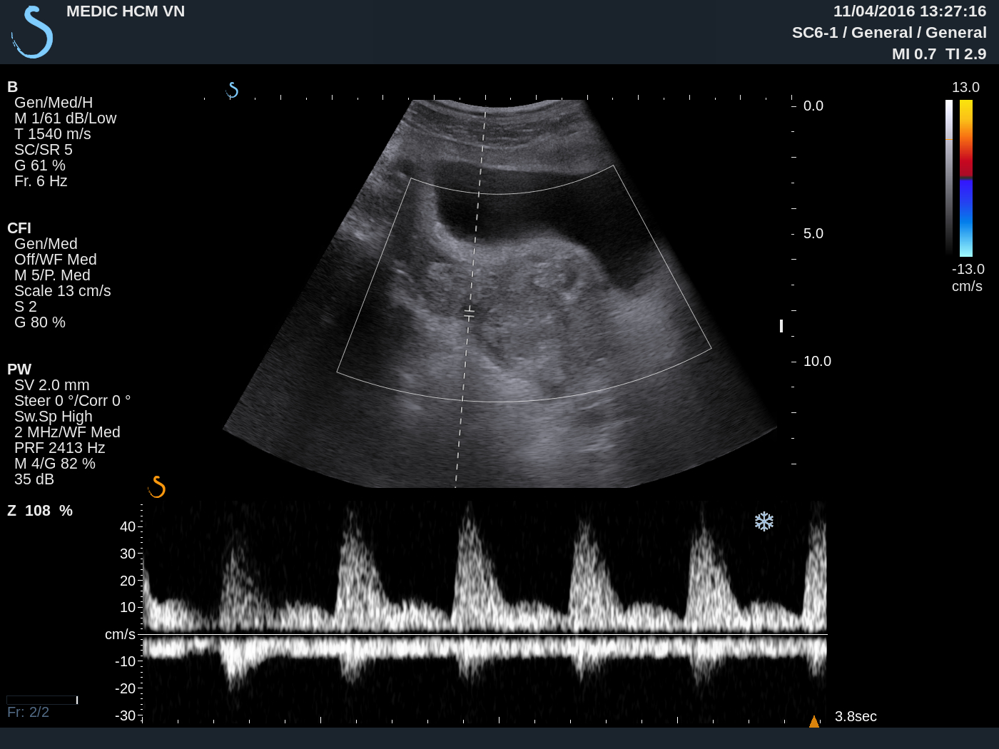
Ultrasound again detected one hypervascular mass at the neck of uterus ( see 3 USimages).
And beta HCG of blood test is high.
MRI uterusof this mass suspected gestation at neck uterus in the scar of cesarian section before.
Open operation for hysterectomy confirmed cervical pregnancy in C-section scar.







