Man 38 yo with chief complaints: fever and lower abdominal pain for 10 days. Pain not releasing but getting worse with colicky pain and having dysenteric syndrome. Endoscopy ruled out a colonic tumor and noted that sigmoid colon may pushed by an uncertain mass from outside.
Ultrasound of abdomen detected an abcess in minor pelvis which was thought to be an appendiceal abscess.
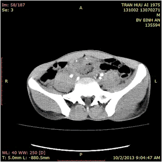
Later abdominal CT confirmed a right pelvic abscess with fecolith and a diagnosis of appendiceal abscess was made.\
WBC= 14.76 K with 78.3% of neutrophile and CRP=87.24mg/L.
Endoscopic surgery was performed.
A wall-off abscess at pelvic region was detected which was due to perforated inflammed appendix at liberal tip . The pelvic abscess was removed and patient getting well.





