I
Operation removed the tumor (see macro 1,2).
MICROSCOPIC REPORT IS PHEOCHROMOCYTOMA.
POST OP BLOOD PRESSURE IS STABLE.
Reference:
Diagnosis of this case is pheochromocytoma which based on clinical, ultrasound, CT and blood test. This patient is waiting for operation with very caution.
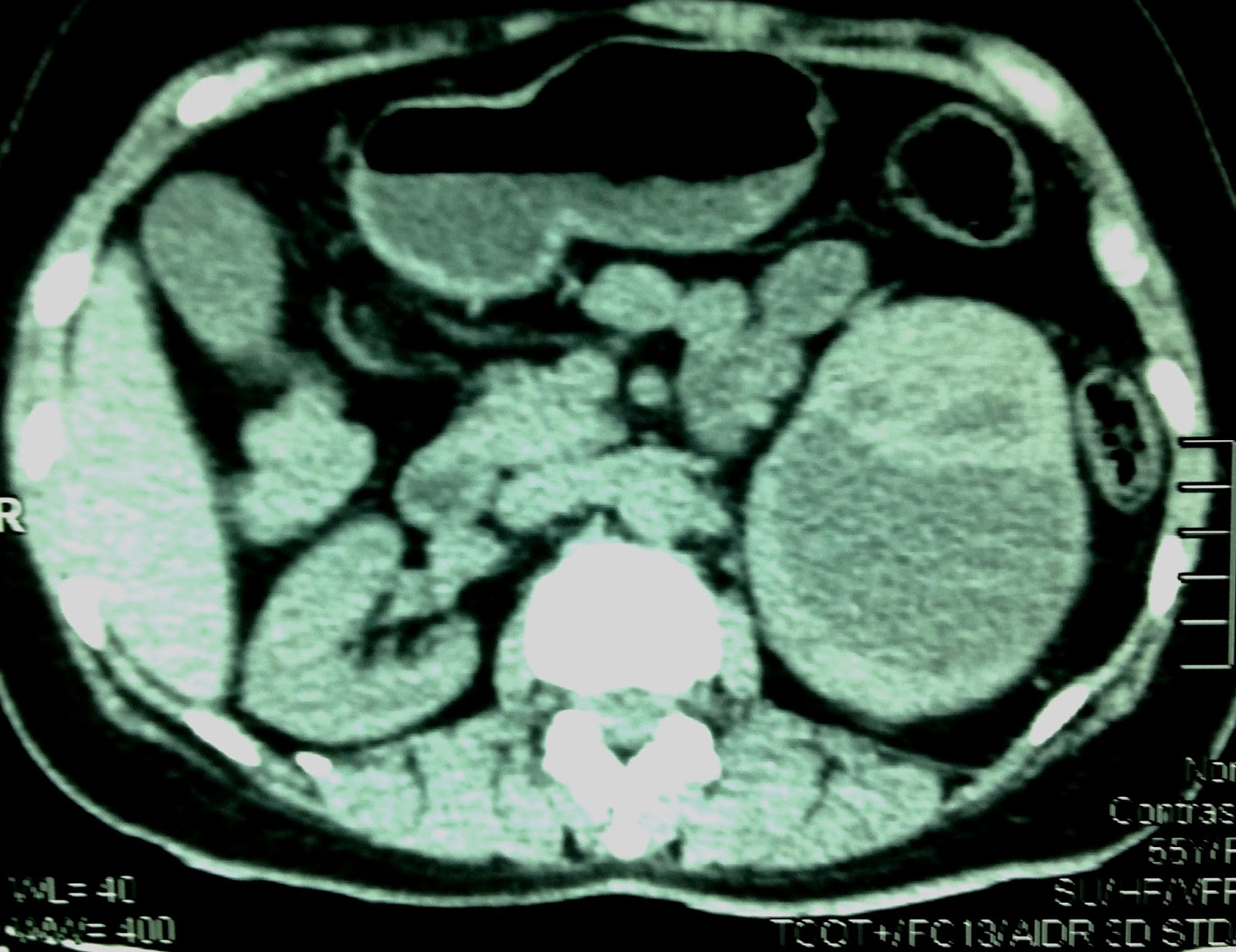
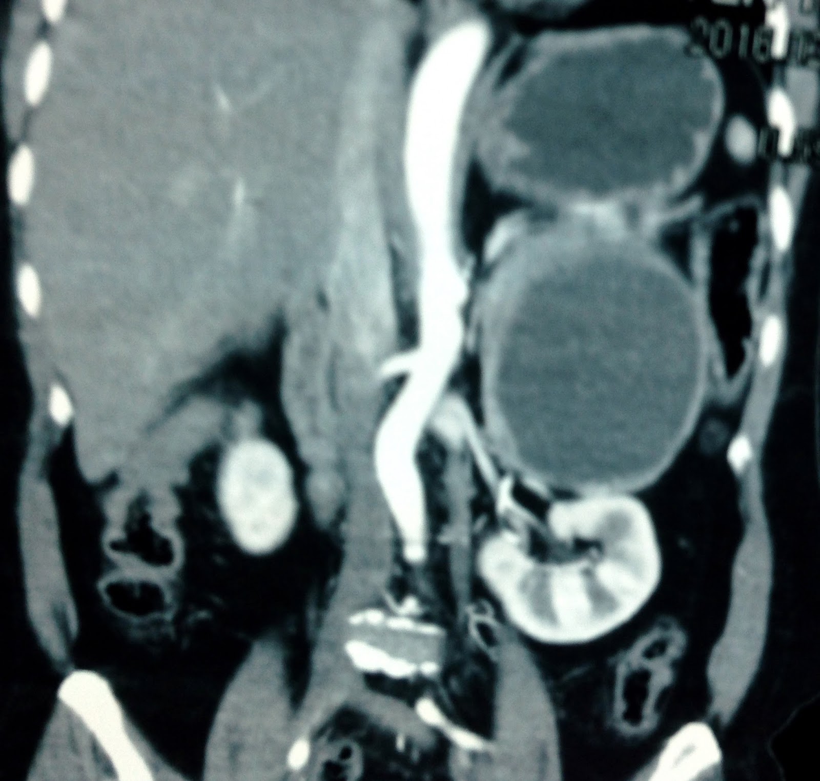
Woman 55 yo with blood pressure rise crisis for 5 years, max 20/10cm Hg, medical treatment cannot control in stable. Ultrasound of abdomen detected one round mass at left adrenal area, ..size of 8cm well bordered, cystic with septation ( US 1, US 2).
MSCT with CE= CT1: sagittal plan this mass at adrenal fossa deplaced left kidney. CT2: normal vascular supply to kidney . CT3: crossed section of.this mass inhomogeneous in contrast enhancement.
Blood test shows very high catecolamine of 24 hours in urine and metanephrine in plasma is 1521.53/mL (normal <90 ng/mL).
MICROSCOPIC REPORT IS PHEOCHROMOCYTOMA.
POST OP BLOOD PRESSURE IS STABLE.
Reference:










